Activité 5

Activité 5 : L’observation microscopique de spermatozoïdes et d’ovules

Compétences travaillées :

  • Réaliser une observation microscopique
  • Réaliser un dessin d’observation

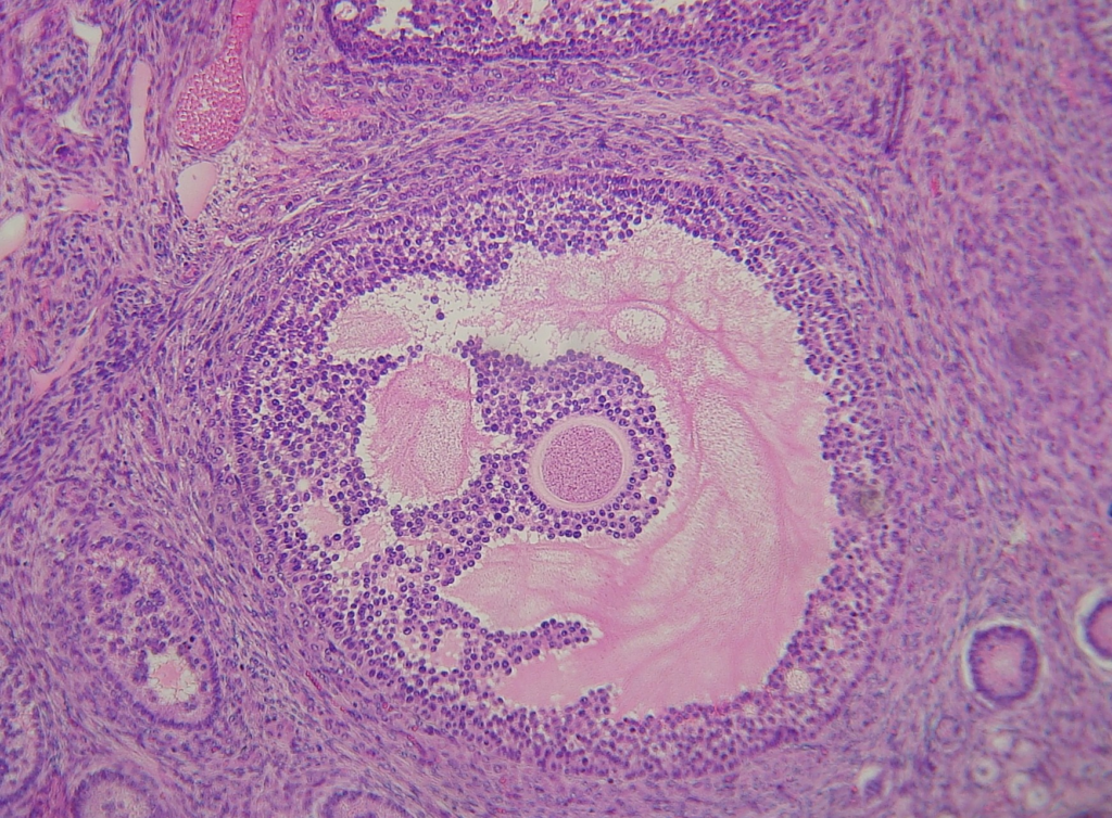
Photographie d’un follicule (ovule + cellules le protégeant) observé au microscope optique au grossissement x10x10

Source : https://www.incertae-sedis.fr/gl/docut339_54_ovaire_lames.htm

Photographie de spermatozoïdes humains observés au microscope optique au grossissement x10x60

Source : https://www.incertae-sedis.fr/gl/docut339_50_spermatozoides_lames.htm